A Beleza do Sorriso é uma clínica odontológica formada por profissionais altamente qualificados, com formação acadêmica e experiência clínica nas diversas áreas odontológicas, que tem como principal objetivo o tratamento humanizado e personalizados para que nossos pacientes tenham uma experiência única em cada atendimento.
Moderna, confortável e equipada com aparelhos de última geração, oferecemos atendimento odontológico especializado em diversas áreas da odontologia: lentes de contato dental, clareamento dental, próteses, escaneamento intra-oral e planejamento 3D, cirurgias, endodontia, estética, implante, periodontia e ortodontia. Contamos com toda tecnologia e recursos digitais a nosso favor buscando sempre a excelência em cada atendimento.
Nossa missão é a excelência clínica, tratamentos humanizado e individualizado, devolvendo função e estética desejada para nossos pacientes.
É a especialidade que tem como objetivo o diagnóstico e tratamento cirúrgico e coadjuvante das doenças...
É a área da odontologia que tem como objetivo devolver o bem-estar e auto-estima dos pacientes através das técnicas de várias especialidades para...
É a especialidade que tem como objetivo o estudo dos enxertos ósseos com a finalidade de viabilizar a instalação...
É a especialidade que tem como objetivo a preservação do dente por meio de prevenção, diagnóstico, prognóstico...
É a especialidade que tem como objetivo a reconstrução dos dentes parcialmente destruídos ou a reposição de dentes...
É a especialidade que tem como objetivo o estudo, o diagnóstico, a prevenção e o tratamento das doenças...
Ortodontia é uma especialidade odontológica que corrige a posição dos dentes e dos ossos maxilares posicionados...
CRO-SP 63087
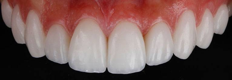
CRO-SP 111079Paciente insatisfeita com a estética do sorriso. Vergonha de sorrir e vontade de mudar foi o que levou a paciente a buscar tratamento odontológico. Foram realizados 10 microlaminados cerâmicos alterando tanto a forma quanto a cor dos dentes mantendo a naturalidade.
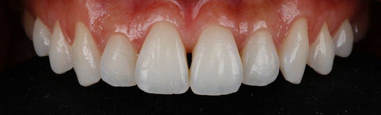
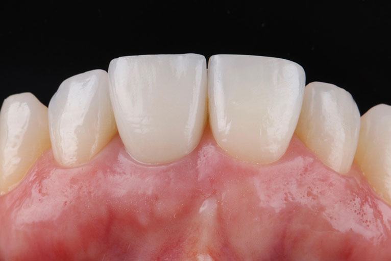
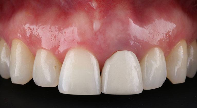
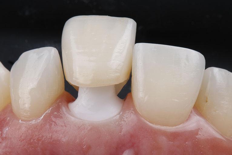
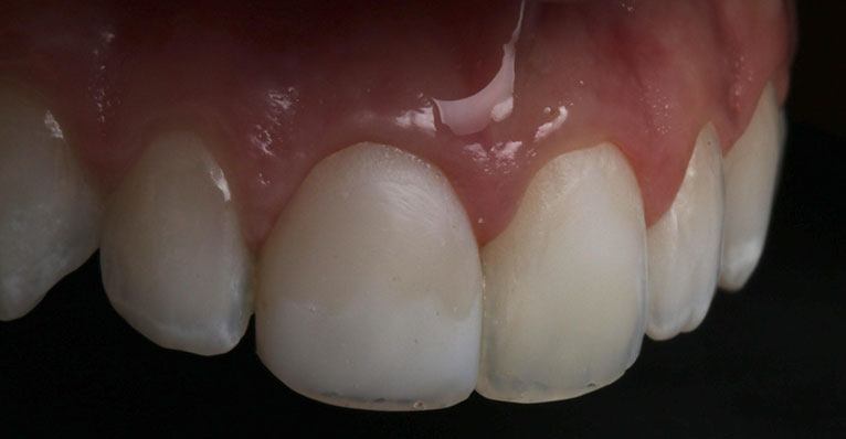
Pacientes com fratura de dentes muitas vezes precisam substitui-los por implantes. Foi o que aconteceu com essa paciente. A coroa antiga com pino metálico em posição não conseguia mais ser fixada. Após exames clínicos e tomográficos constatou-se fratura da raiz.
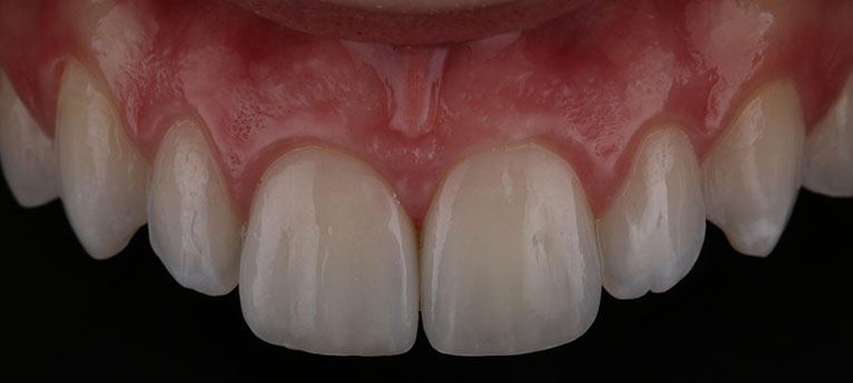
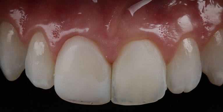
Paciente fraturou o dente quando jovem. Reabilitada com resina composta, esse material com o passar do tempo sofreu manchamentos constantes e fratura da borda incisal. Buscou auxilio para outro tipo de tratamento e optou-se por realizar 1 faceta cerâmica e 1 laminado cerâmico devolvendo a estética e naturalidade ao sorriso.